结直肠癌(Colorectal Cancer,CRC)是世界第三大常见恶性肿瘤,大多数结直肠癌都是散发性或家族性,炎症性肠病(IBD)相关的结直肠癌仅占1-2%。但炎性肠病迁延30年后超过18%的患者会发展为结直肠癌,且致死率也显著高于散发性结直肠癌。
尽管近几年结直肠癌的临床研究有了较大的进步,但对于其发病机制仍不清楚。因此,建立合适、可靠的IBD相关结直肠肿瘤动物模型,对于其病程机理研究和临床药物治疗都具有重大意义。

理想的IBD相关性CRC动物模型应具备
1.背景清楚,发病年龄较轻,生命周期满足实验需求
2.对造模方式敏感
3.具有“炎症→异型增生→癌变”组织学上顺序改变特征
4.成瘤率高、病死率低、远处转移
5.实验动物容易购买,成本低
AOM/DSS模型
氧化偶氮甲烷(Azoxymethane,AOM)是一种甲基化剂,它可以在DNA中形成6-O-甲基鸟嘌呤。除非甲基化的碱基被细胞酶修复,否则会导致碱基错配,从而诱导组织中的肿瘤形成。
葡聚糖硫酸钠(Dextarn Sodium Suipate,DSS)作为一种促炎药物,溶解于大小鼠的饮水中,可引起严重的以腹泻为主要特征的肠炎,长期反复接触可发生慢性肠炎。
AOM/DSS模型能很好地模拟慢性肠道炎症诱发肿瘤生理病理过程,被广泛用于炎症相关性肿瘤形成机制的研究。
AOM/DSS造模优势
1.方法简单
2.重复性好
3.7-10周即可建立肿瘤模型
4.可用于任何遗传背景的动物(敲除、转基因等)
案 例 分 析
2012年,Thaker等人,用AOM联合DSS注射小鼠。其他模型的肿瘤发生通常需要几个月的时间,但注射AOM并随后接受DSS处理的小鼠在短短7-10周内就诱导出足够的肿瘤。
AOM/DSS造模示意图
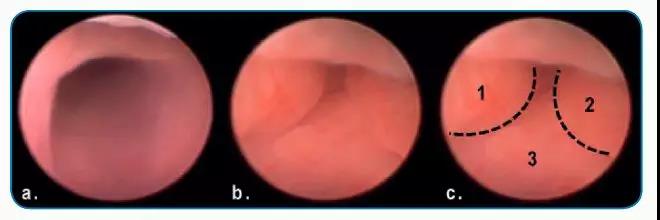
第50天通过内镜观察小鼠远端结肠肿瘤。与正常结肠(a)相比,多个息肉样肿块阻塞远端结肠(b,c)的管腔。

图1
纵向切开的小鼠结肠,显示肿瘤的大体外观。远端结肠/直肠的肿瘤负荷较高(左上图)。而具有特征性皱襞的近端结肠肿瘤比较少(右上图)近观远端结肠,显示许多不同大小的肿瘤(下图)。

图2
MP肠道疾病模型相关产品信息

上一篇:什么是迁移测试池?



粤公网安备 44010602002501号